駿品物理治療所-物理治療所,桃園物理治療所,中壢物理治療所
首頁
關於我們
ABOUT US
團隊介紹
TEAM
服務項目
SERVICE
治療案例
CASE
案例分享
最新消息
NEWS
最新活動
相關文章
聯絡我們
CONTACT
最新消息
首頁
>
最新消息
>
相關文章
文章分類
Article
最新活動
相關文章
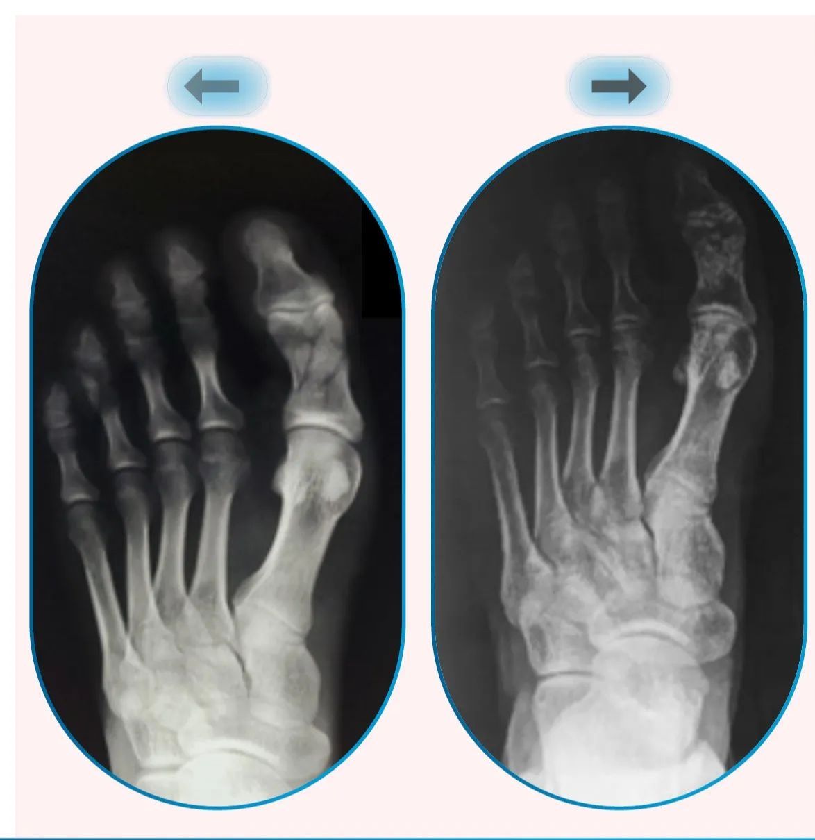
【骨折復原卡關?關鍵在刺激對了沒】
【骨折復原卡關?關鍵在刺激對了沒】
一位 42 歲來自秘魯排球選手的腳拇趾骨折,
做了 20 次傳統治療仍無進展。
從來到駿品治療16次後,
僅數週——
X 光骨癒合明顯提升
無疼痛
可正常負重、行走
給身體對的刺激、對的時間,
修復速度就會完全不同。
#駿品物理治療所
#沐森物理治療所
#SuperInductiveSystem
#骨折修復
#消腫
#物理治療臨床案例
#動得更好活得更好變得更好
上一篇
回列表
下一篇
TOP
回首頁
電話